熱線:021-66110810,66110819
手機:13564362870

熱線:021-66110810,66110819
手機:13564362870
研究簡介:早發性卵巢功能不全(POF)是指女性在40歲之前因卵巢功能衰竭而導致的生育能力喪失。其發病率為0.01%(20歲時)至1%(40歲時)。雖然POF的具體病因尚不明確,但自身免疫因素被認為是導致POF的重要原因之一,約占POF病例的4%-30%。透明帶(ZP)糖蛋白是誘導POF的關鍵抗原,其中ZP3具有強烈的抗原性。氫氣是世界上最小的分子。氫氣進入消化道并迅速擴散到血液中。氫氣可以穿透生物膜并擴散到細胞質、線粒體、細胞核和血腦屏障中。本研究通過ZP3免疫小鼠建立免疫性POF模型,以評估富氫水對卵巢儲備功能的保護作用。研究人員實驗中使用50只雌性BALB/c小鼠,隨機分為四組:對照組(正常水)、富氫水組、模型組(ZP3免疫+正常水)和模型-富氫水組(ZP3免疫+富氫水)。實驗持續5周后,檢測小鼠血清抗苗勒管激素(AMH)水平、顆粒細胞(GC)凋亡指數(AI)、Bcl-2和Bax蛋白表達。本研究主要是探討富氫水對透明帶3(ZP3)誘導的免疫性早發性卵巢功能不全(POF)小鼠模型卵巢儲備功能的保護作用。早發性卵巢功能不全(POF)是一種影響女性生育能力的疾病,目前缺乏有效的治療方法。卵巢儲備功能在女性生育能力中起著重要作用,而氫氣已被報道對男性生育能力有保護作用。富氫水可通過提高血清AMH水平和減少卵巢顆粒細胞凋亡,對ZP3誘導的免疫性POF小鼠模型的卵巢儲備功能起到保護作用。這一發現為開發新的POF治療方法提供了潛在的思路。未來的研究將進一步探索富氫水的作用機制,并評估其在人類卵巢功能保護中的應用前景。
Unisense氫氣電極的應用
Unisense針式氫氣微電極被用于檢測和確保富氫水中的氫氣濃度。研究過程中使用氫氣發生器將高純度氫氣溶解到水中,制備富氫水。為了確保富氫水的氫氣濃度達到實驗要求,使用Unisense針式H?微電極對溶解后的氫氣濃度進行檢測。在小鼠飲用富氫水后,研究人員會再次使用Unisense針式氫氣電極對剩余的富氫水進行濃度分析,以確認氫氣濃度未因時間或環境因素而降低。
實驗結論
基于實驗中觀察到的血清AMH水平的顯著提升和顆粒細胞凋亡指數的顯著降低,以及通過調節Bcl-2家族蛋白來抑制GC凋亡的機制。富氫水可能通過提高血清抗苗勒管激素(AMH)水平和減少卵巢顆粒細胞(GC)凋亡,在由透明帶3(ZP3)誘導的免疫性早發性卵巢功能不全(POF)小鼠模型中對卵巢儲備功能起到保護作用。這些結果揭示了富氫水對女性生育能力潛在的保護效果,為開發新的POF治療方法提供了有希望的線索。
圖1、富氫水對血清抗苗勒管激素(AMH)濃度的影響。數據以均值±標準誤表示。與對照組相比*P<0.05;?P<0.05;?P<0.01。
圖2、富氫水對顆粒細胞凋亡指數的影響。通過TUNEL法評估凋亡。數據代表均值±標準誤。與對照組相比*P<0.001;?P<0.05;?P<0.001。TUNEL:末端脫氧核苷酸轉移酶dUTP缺口末端標記。
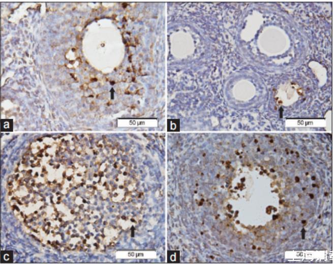
圖3、卵巢凋亡顆粒細胞的形態學分析。(a)對照組、(b)富氫水組、(c)模型組和(d)模型-富氫水組中的TUNEL陽性顆粒細胞。深棕色點(黑色箭頭)指示凋亡顆粒細胞。比例尺=50μm。TUNEL:末端脫氧核苷酸轉移酶dUTP缺口末端標記。
圖4、(a)對照組、(b)富氫水組、(c)模型組和(d)模型-富氫水組中Bax的免疫組織化學染色。(e)對照組、(f)富氫水組、(g)模型組和(h)模型-富氫水組中Bcl-2的免疫組織化學染色。(i)陰性對照。棕色染色代表Bax和Bcl-2蛋白表達。比例尺=50μm。Bcl-2:B細胞白血病/淋巴瘤2;Bax:BCL2相關X蛋白。
圖5、通過蛋白質印跡分析確定的Bax和Bcl-2表達。數據以均值±標準誤表示。(a)如圖d所示的Bax水平。(b)如圖d所示的Bcl-2水平。*P<0.05。(c)Bax/Bcl-2比值。(d)免疫印跡圖。Bcl-2:B細胞白血病/淋巴瘤2;Bax:BCL2相關X蛋白。
結論與展望
本研究旨在探討富氫水對透明帶3(ZP3)誘導的免疫性早發性卵巢功能不全(POF)小鼠模型卵巢儲備功能的保護作用。通過建立ZP3誘導的免疫性POF小鼠模型,研究發現富氫水能夠顯著提高血清抗苗勒管激素(AMH)水平,并減少卵巢顆粒細胞(GC)的凋亡。具體而言,模型組小鼠的血清AMH水平顯著低于對照組和富氫水組,而富氫水干預組(模型-富氫水組)的AMH水平則顯著高于模型組。此外顆粒細胞凋亡指數(AI)在模型組中顯著升高,而在富氫水干預組中則顯著降低。進一步的機制研究顯示,富氫水通過上調Bcl-2蛋白的表達并降低Bax/Bcl-2比值,抑制了顆粒細胞的凋亡。Unisense針式H?傳感器在本研究中發揮了重要的技術支持作用,確保了富氫水的濃度控制和實驗條件的一致性,從而為研究富氫水對小鼠卵巢儲備功能的保護作用提供了可靠的實驗基礎。本研究的創新之處在于首次通過動物模型驗證了富氫水對女性生殖系統保護作用的可能性,為未來開發新的POF治療方法提供了科學依據。研究結果表明,富氫水不僅能夠改善卵巢儲備功能,還可能通過調節細胞凋亡相關通路來發揮其保護作用。盡管本研究取得了一定的成果,但仍存在一些局限性。首先,研究僅在動物模型中進行,尚未在人類中驗證富氫水的保護效果。其次,雖然研究揭示了富氫水對顆粒細胞凋亡的調控機制,但其具體作用途徑和分子機制仍需進一步深入研究。此外,富氫水的最佳劑量、給藥時間和長期效應等關鍵問題也尚未明確。
相關新聞